علم الانسجة
Courtesy of Lab of Pathology Department on Medicine School of Ribeirão Preto – USP

01
فريق الدراسة
المختبرين : ر.موني. السيد كيم. ا.تينينباوم. السيد تيزياني
الرقم = 29 فأر تجارب
الوزن : 421g
أصل الحيوانات : مركز البيوتريوم بالحرم الجامعي ريبيرايو بريتو لجامعة ساو باولو
الصيانة : مختبر علم الامراض قسم علم الامراض بجامعة الطب لريبيرايو بريتو
رعاية الحيوان : صندوق البولي بروبلين
أكل الحيوانات : مأكولات مخبرية بسيطة مع الماء
ظروف الاضاءة : اضاءة طبيعية/ دورات الظلام تحت المراقبة في الضروف البسيطة

02
تمويت الحيوانات و العينات النسجية
1-يتم تمويت الفئران في غرف غاز ثنائي اوكسيد الكربون
2-يتم شق الجلد بشفرة رقم 23
3-ايجاد عضلة أمام الظنوب و عزلها باستعمال مقص ميتزينباوم
تشريح الاوتار بمقص مايو
- تثبيت أجزاء العضلات على اقسام من بلوط الفلين
- التضمين باستخدام محلول فورمالديهايد 50%-ربت10% و 50% بارافين نقي للدراسة المجهرية الضوئية البسيطة
- تلطيخ الشريحات كعملية نسيجية روتينية
- المشراح المستعمل : Leika RM 2155
- تلوين أجزاء العضلات يتم عن طريق : الهيماتوكسيلين-الايوزين-ترايكروم ماسون-احمر بيكرو سيريوس
- تم الفحص النسيجي عن طريق المجهر التقليدي (البسيط) (Olympus BH-2)
- تمت الملاحضة تحت مصباح مستقطب
- تم التوثيق الفوتوغرافي بمجهر Leika DMR مرتبط بكامرا رقمية Leika CD300F و متناسقة مع الحاسوب

03
الاجهزة و المواد
- تم وضع الحيوانات في صناديق حيث انها رقمت من 1 الى 6 : تحتوي الصناديق من 1 الى 5 على 5 فئران اما الصندوق السادس على 4 فئران.
- كل الحيوانات تخضع الى تقييم للمشي من خلال الملاحضة لأثار اقدامها على ورق خاص و أقدامها الخلفية تخضع لنفس تقييم في محلول صابون.
- كان لذى الصندوق الاول مجموعة التحكم حيث تلقو تطبيق 0.1 مل من محلول ملحي (NaCl 0,9%) في عضلة مقدم الضنبوب اليمنى.
- فئران الصناديق من 2 الى 5 تلقو منتج الاندوبيل الرئيسي الاصلي في نفس العضلة كمجموعة تحكم.
- اما الصندوق الرابع المكون من 4 فئران تلقو 0,5 مل من منتج الاندوبيل الرئيسي الاصلي حيث حقن في الطبقة التحت جلدية.
- كل الحيوانات خضعوا الى تقييم المشي قبل و بعد حقنهم.

04
الطرق

05
المراقبة
تعليق : لا وجود لأي تعليق بعد الحقن

L:Pretibial-No treatment

R:Pretibial-After 0.1 ml NaCl 0.9% IM
06
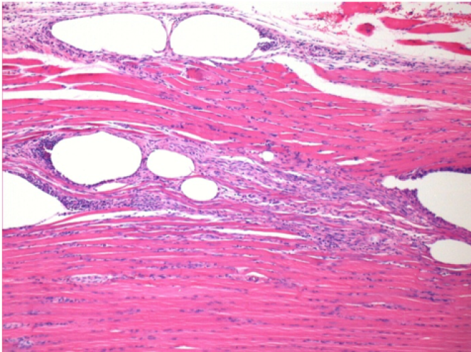
بعد 10 أيام من حقن إندوبيل
10 أيام بعد حقن إندوبيل 0.1 مل في العضلة أمام الظنبوب الأيمن.
هنا قد ترى تشكيل الفجوات التي تحيط بها الخلايا اللمفاوية. الفجوات تختلف عن نخر الأنسجة. يرتبط وجود الخلايا اللمفاوية بنفاذية أغشية الخلايا.

L : Control-100xD10

R:100xD10

R :200xD10

R :400xD10
07
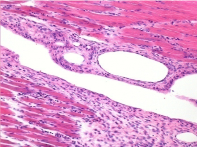
بعد شهر من حقن إندوبيل
بعد شهر واحد من حقن Endopeel 0.1 مل في العضلة أمام الظنبوب اليمنى.
ما يظهر باللون الأسود في الصور ليس نخرًا كما يتصور بعض العلماء!
في الواقع ، يجب أخذ 4 استنتاجات في الاعتبار :
- قطعة أثرية من التلوين
- عدم وجود نخر
- عملية بيولوجية
- موت الخلايا المبرمج

L : Control-100xD30

R:100xD30

R :400xD30
08
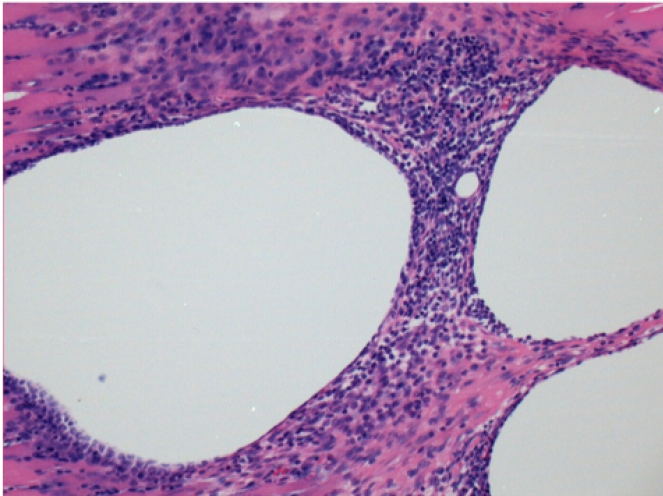
بعد 3 أشهر من حقن إندوبيل
3 أشهر (D90) بعد حقن Endopeel 0.1 مل في العضلة أمام الظنبوب اليمنى.

L : Control-100xD90

R:100xD90
09
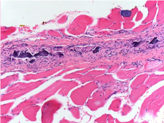
سبعة أشهر بعد حقن إندوبيل
7 أشهر (D210) بعد حقن Endopeel IM 0.1 مل في العضلة أمام الظنبوب اليمنى.
Complete Restitutio ad integrum after 7 months

L : Control-100xD210

R:100xD210

L :Control 50xD210

R50X-D210
10
حقن إندوبيل في الأنسجة تحت الجلد
0.5 مل (5 × 0.1 مل) حقن Endopeel SC في المنطقة تحت الجلد اليمنى.

L:200x-Control-SC

R-D10-SC-200X

R-D30-SC-200X

R-D90-SC-200X

R-D210-SC-200X

R-D210-SC-400X

-
يستحث Endopeel انحلال عضلي عضلي قابل للانعكاس الانتقائي ورد فعل التهابي في فترة شهر واحد تقريبًا
-
- التغييرات العضلية قابلة للانعكاس في مجملها بالكامل تقريبًا
-
- العضلة هي أفضل مكان لحقن Endopeel بسبب فعاليتها وتحكمها ومدة عملها
-
- لم يتم العثور على أي نخر أو خراج في جميع أنحاء الدراسة.
